业务咨询
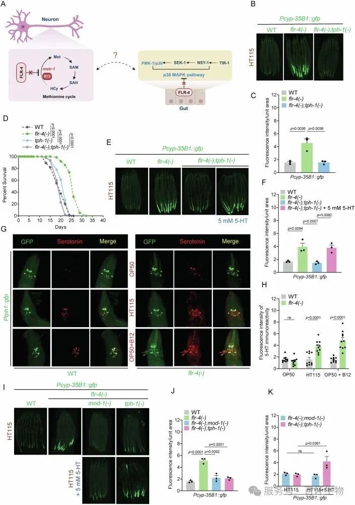
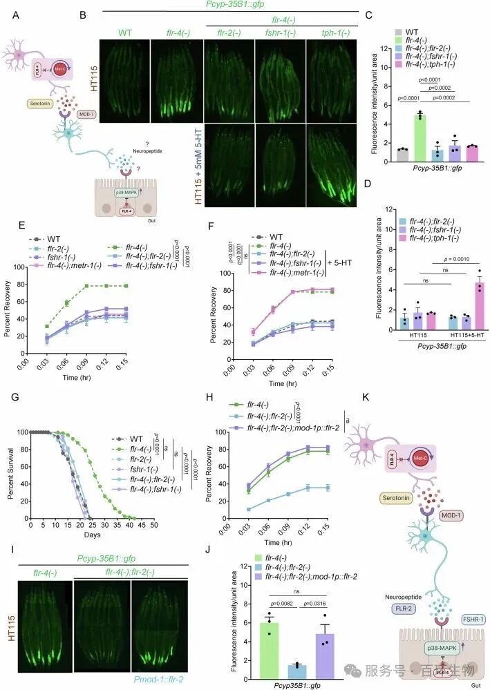
发表于《Nature Communications》的研究以秀丽隐杆线虫为模型,首次完整揭示了维生素B12通过神经元甲硫氨酸循环(Met-C)调控全身生理的分子机制。研究通过一系列精准实验,绘制出一条从神经信号到肠道响应的通路,涉及代谢感知、信号传递和行为选择等多个层面,以下结合关键图表解析核心发现。 为什么是线虫?揭秘 “迷你生物” 的科学价值 在生命科学研究中,秀丽隐杆线虫(Caenorhabditis elegans)是一个传奇般的存在。这种体长仅 1 毫米、全身由 959 个细胞组成的透明线虫,却拥有与人类高度保守的基因序列和代谢通路。它的生命周期仅有3 周,繁殖速度极快,能在短时间内完成多代实验;更重要的是,其细胞谱系和神经系统结构完全清晰,科学家可以像 “拆解机器” 一样精准定位每个基因的功能。 正是这些特性,让线虫成为研究 “营养-基因-寿命” 关系的理想模型。在这项研究中,线虫的饮食被严格控制为两种大肠杆菌:高B12含量的HT115和低B12含量的 OP50。通过对比两种饮食下线虫的生理变化,科学家们捕捉到了B12调控生命活动的完整链条。 研究的起点是一个有趣的发现:一种名为flr-4的突变体线虫在高B12饮食中表现出显著的 “长寿特质”——它们的寿命比普通线虫延长40%,对渗透压、氧化等环境压力的抵抗能力提升2-3 倍,甚至会主动 “偏爱” 高 B12的食物。这种现象背后,隐藏着B12对生物体的深层调控机制。 在高B12饮食的刺激下,线虫体内第一个被 “唤醒” 的是神经元中的甲硫氨酸循环(Met-C)。这是一套进化上高度保守的代谢通路,其核心功能是将B12作为辅酶,通过甲硫氨酸合酶(线虫中为METR-1)将高半胱氨酸转化为甲硫氨酸,进而生成S-腺苷甲硫氨酸(SAM)—— 细胞内最重要的 “甲基供体”。 图1的关键证据:通过组织特异性基因拯救实验,科学家发现:当metr-1(甲硫氨酸循环的关键基因)仅在神经元中恢复表达时,flr-4突变体线虫的细胞保护基因(如cyp35B1)表达量提升2.3倍,渗透压应激存活率从21%跃升至 78%,寿命从14天延长至22天,完全恢复到正常突变体的水平;而在肠道中恢复metr-1则毫无效果。这意味着,神经元中的甲硫氨酸循环是 B12 调控表型的 “司令部”,而非肠道或其他组织。 甲硫氨酸循环的激活,为下一步的信号传递奠定了基础。研究发现,充足的SAM会通过表观遗传修饰上调色氨酸羟化酶基因(tph-1)的表达,而该基因正是合成血清素的 “限速开关”。 图3的实验验证:免疫荧光结果显示,高B12饮食下,flr-4突变体的ADF神经元中血清素含量是野生型的2.1 倍;同时,tph-1基因的转录水平上调1.8倍(通过Ptph-1::gfp报告基因检测)。当敲除tph-1后,线虫的长寿表型完全消失——cyp35B1表达下降 72%,寿命从23天缩短至15天;而补充5mM血清素后,这些表型又能恢复至正常水平的89%。 更关键的是,血清素的作用依赖其特异性受体MOD-1。当mod-1基因突变后,即使补充大量血清素,线虫的cyp35B1表达仍下降 65%,应激耐受性和寿命也无法恢复。这说明,血清素并非随机扩散,而是通过精准的受体识别,将 B12 的 “营养信号” 转化为 “神经信号”。 神经信号从ADF神经元发出后,需要通过 “中间神经元” 接力传递至肠道。研究发现,血清素与中间神经元上的MOD-1结合后,会触发一种名为FLR-2的神经肽释放——这种分子结构类似人类糖蛋白激素α亚基的物质,是连接神经与肠道的 “关键接力棒”。 图5的突破性发现:当flr-2基因突变后,flr-4突变体的cyp35B1表达下降70%,渗透压应激存活率从83%降至 28%,寿命从23天缩短至15天,与甲硫氨酸循环或血清素合成缺陷的表型高度一致。更重要的是,补充血清素无法恢复flr-2突变体的表型,证明FLR-2作用于血清素下游。 信号抵达肠道后,并非通过传统的 “生化反应” 激活下游通路,而是引发了一种特殊的 “物理变化”——TIR-1 蛋白的相变。TIR-1是人类SARM1蛋白的同源物,在应激条件下会从可溶性单体聚集为功能性多聚体(形成 “puncta”),这一过程是激活下游p38-MAPK通路的关键。 图6的直观证据:荧光标记显示,flr-4突变体肠道细胞中TIR-1::wrmScarlet多聚体的数量是野生型的3.2倍;而当metr-1、tph-1、flr-2或fshr-1任一基因发生突变时,多聚体数量会下降60%-70%。进一步分析发现,TIR-1多聚体的数量与p38-MAPK的磷酸化水平呈显著正相关(相关系数 R=0.89),证明相变是通路激活的 “物理开关”。 线虫的神奇之处不仅在于被动适应B12水平,更能主动选择有利于生存的食物。在食物选择实验中,70%的flr-4突变体会在6小时内聚集到高B12的HT115区域,而野生型线虫则无明显偏好。 图7的行为学证据:这种偏好的量化指标——“偏好指数” 在flr-4突变体中为0.63±0.05,显著高于野生型的 0.02±0.03。更有趣的是,当metr-1、tph-1、mod-1、flr-2或fshr-1任一基因发生突变时,偏好指数会降至0.1至0.1,接近野生型水平;而仅在ADF神经元中恢复metr-1,又能使偏好指数从0.05恢复至0.58。 这意味着,线虫的饮食选择并非随机行为,而是由 B12激活的神经-肠道轴精准调控的适应性策略——通过感知体内代谢状态,主动趋向更利于生存的环境,形成 “营养感知-行为调整-寿命延长” 的良性循环。这种行为背后的进化逻辑显而易见:能够精准识别高营养食物的个体,更有可能在自然选择中存活下来。 整合所有实验结果,研究团队构建了一条清晰的调控通路(图 8):高 B12 饮食首先激活ADF神经元中的甲硫氨酸循环,通过SAM上调tph-1表达,促进血清素合成;血清素与中间神经元的MOD-1结合,触发神经肽FLR-2释放;FLR-2与肠道受体FSHR-1结合,诱导 TIR-1蛋白相变并激活p38-MAPK通路;最终上调细胞保护基因表达,增强应激耐受性,延长寿命,并指导线虫选择高B12饮食。 在这一模型中,flr-4基因扮演着 “平衡者” 的角色 —— 其编码的激酶在神经元中抑制甲硫氨酸循环过度激活,在肠道中阻止TIR-1异常相变,从而确保线虫在不同B12饮食中维持生理稳态。当flr-4突变后,这种平衡被打破,线虫反而能通过强化神经-肠道信号轴,从高 B12饮食中获得更大的生存优势。 对人类的启示:B12的多维价值与未来展望 虽然线虫与人类的生理结构存在差异,但这项研究揭示的核心机制具有高度的进化保守性,为理解人类健康提供了多重启示: B12与神经精神健康:血清素合成依赖B12的发现,为解释 “B12缺乏与抑郁症、认知下降相关” 提供了分子机制。临床研究已证实,补充B12能增强抗抑郁药物(如SSRIs)的疗效,而这项研究可能揭示了其背后的 “神经-代谢” 交叉调控原理。 肠-脑轴的分子基础:人类肠道菌群能合成B12,而肠道与大脑之间存在密切的 “肠 - 脑轴” 通讯。这项研究提示,菌群产生的B12可能通过类似的神经肽信号(如 FLR-2的人类同源物)影响中枢神经系统,为研究肠道菌群与情绪、认知的关联提供了新方向。 精准营养的可能性:就像线虫能主动选择高B12饮食一样,人类对B12的需求也存在个体差异。未来或许能通过检测甲硫氨酸循环基因(如MTR,人类metr-1同源物)的多态性,定制个性化的B12补充方案,优化代谢健康。 抗衰老药物的新靶点:TIR-1蛋白的相变过程可被小分子调控,这为开发抗衰老药物提供了全新靶点。通过模拟B12的信号,或许能在不依赖营养素的情况下,激活肠道的细胞保护机制。 关于百环生物 百环生物科学循证聚焦大健康产品创新发展,依托斑马鱼、线虫、大小鼠、细胞、类器官、人体临床等多维度技术平台,通过模型验证、数据挖掘、成果转化等搭建大健康产品从实验室到市场的价值转化桥梁。 百环生物对科学循证的优质产品颁发权威科学循证证书、制作科学传播视频、提供专利申报、学术文章支撑、联合发布会、科学循证标识使用等一站式服务,加速新产品开发进程,缩短研发周期,以更快速度推出优质产品,将产品的技术语言转化为市场语言,做好“功效翻译官”,实现科研成果与商业价值的双重突破。 针对抗衰老、解酒护肝、骨骼健康、代谢性疾病调控等数十个功能方向,建立标准化验证模型,为产品功效提供科学、严谨的实证依据。我们通过表型观察、生化指标、分子生物学、组学测序等多学科研究方法,深度解析产品作用机制,精准定位产品信号通路与靶点。 通过可视化的研究成果呈现,将复杂的产品机理转化为消费者可感知、可信赖的直观效果,让产品功效“看得见、说得清、传得开”。加入百环循证生态,共塑大健康新生态! 了解更多详情,请关注百环生物!
